治療実績
WORKS
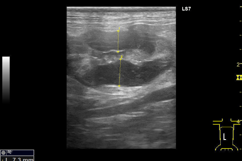
消化器型リンパ腫 |
---|

腸のエコー画像
吐き気のあるワンちゃんです。腸の壁が腫れています。

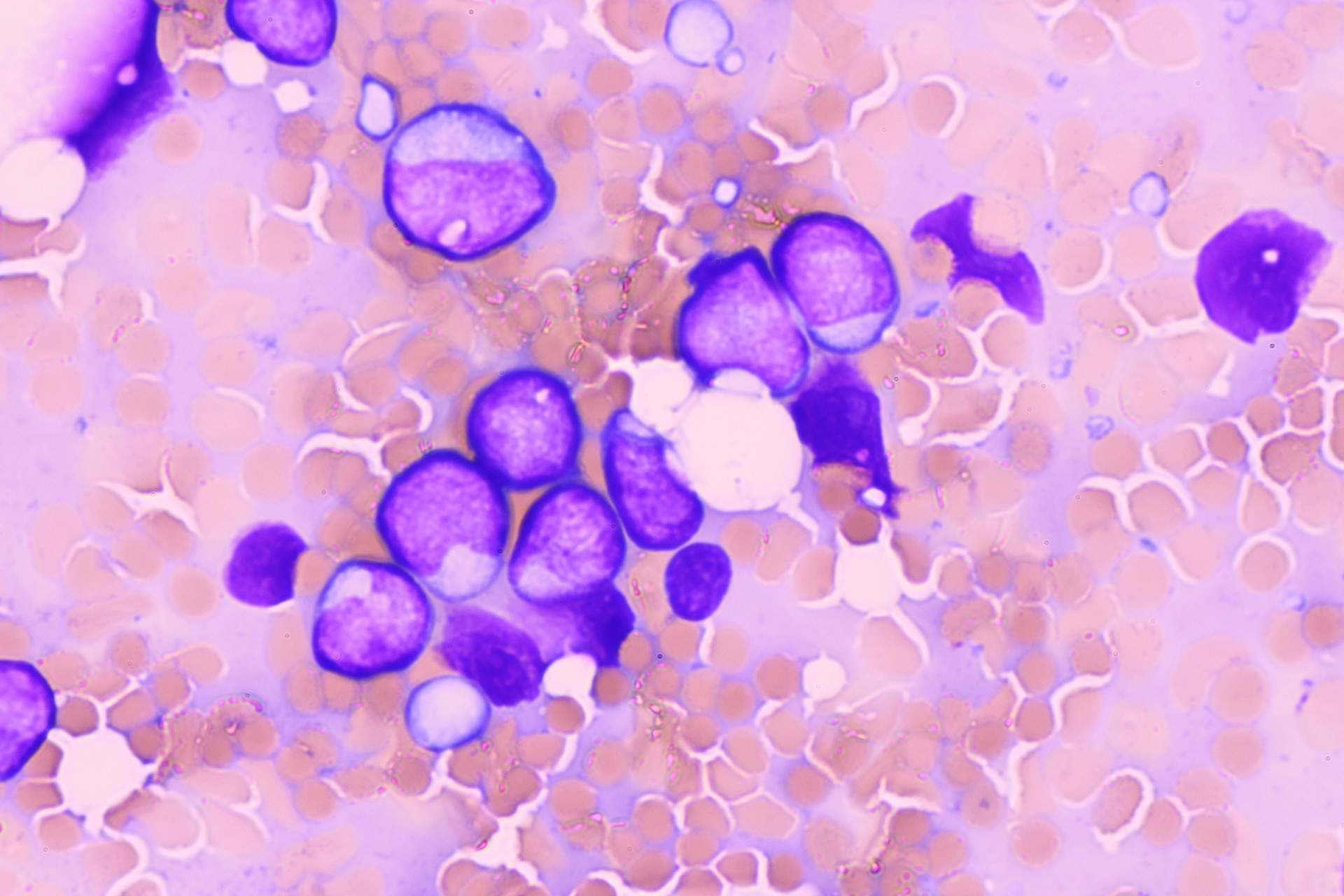
腫瘍細胞
細胞の形態から、リンパ腫と診断しました。副作用所のリスクなど、抗がん剤の治療は簡単ではありませんが、日本に導入された頃からの経験がありますので、お任せください。
受付時間
受付時間 | 月 | 火 | 水 | 木 | 金 | 土 | 日祝 |
---|---|---|---|---|---|---|---|
9:50-12:45 | ○ | ○ | 休 | ○ | ○ | ○ | ○ |
15:50-18:30 | ○ | ○ | 休 | ○ | ○ | ○ | ○ |
水曜休診
夏季休業なし
12月30日から1月3日休診