2024/10/15
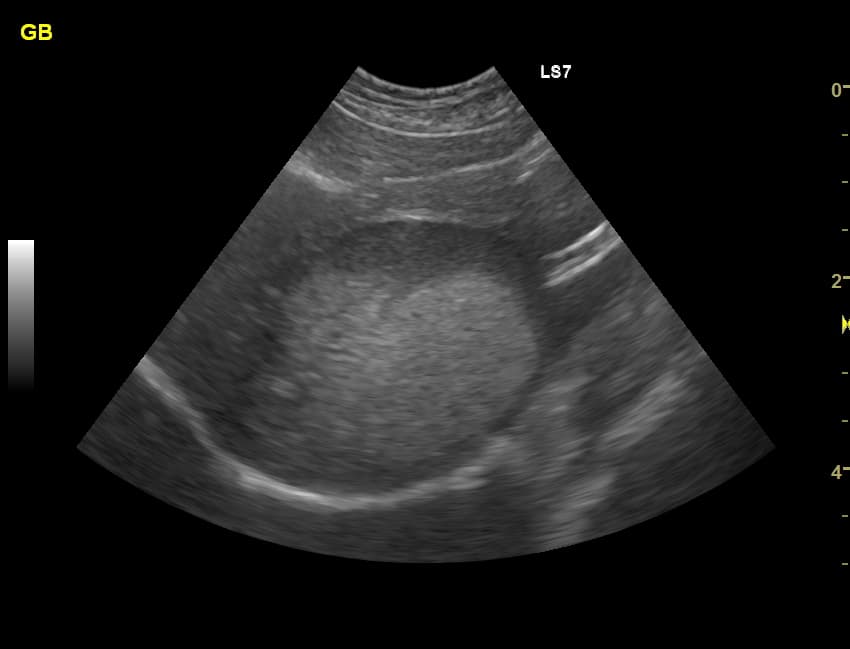
胆嚢内のドロっとしたもの

ふじみ野市の大井みどり動物病院です。
胆泥症(たんでいしょう)は、胆嚢内にどっろとしたの胆汁成分がたまる状態です。
エコー検査で確認でき、多くの犬によくあり、症状がないことがほとんどです。
内分泌疾患、細菌感染、慢性膵炎などで二次的に生じることがありますが、原因がはっきりしない無症候性のものが圧倒的に多く、これがなぜできるのかは詳しくはわかっていません。
諸検査で、胆泥症だけ、ということがよくあります。健康ドッグや他の疾患を疑う場合の検査で、偶然に見つかることが多いです。
この胆泥症をどうするかは獣医学的なコンセンサスはありません。肝臓の内服薬を投与してもどうなるかはわかっていませんし、経過観察が一般的ですが、獣医師の対応に幅があるかもしれません。
今日の咳の原因究明のため検査でも見つかりました。犬の10頭に1〜2頭は胆泥症があると聞いたことがあります。
胆泥症になるのは、胆嚢の収縮が十分でないことが、ひとつ背景としてあると考えています。
一般的に脂肪分を含む食べ物を食べると、脂肪の消化に胆汁が必要なため、多くの胆汁が分泌されます。逆を言うと、低脂肪な食事は、胆汁があまり出ません。
犬は肉食動物ですが、ドライフードには適切(低質)かつ適量(少ない)な脂肪が含まれていない可能性があります。そのような食事ではいつも胆嚢が収縮しきらず、古い胆汁が残存し胆泥の一要因になるかもしれません。
また、ドライドッグフードにはカロリーになる炭水化物が多く含まれているといえ、食後高血糖や高インスリン血症やインスリン抵抗性が生じ、胆嚢の運動低下と関連しているかもしれません。高血糖やインスリンは胆嚢の機能低下を招きます。
更に、栄養素のコリンやトレオニンなどのアミノ酸が不足すると胆嚢の運動が低下する可能性があります。それらは動物性食品、卵、レバー、肉類、魚介類に豊富に含まれまます。ドライドッグフードではその不足の可能性はあるかもしれません。ドライフードに炭水化物が多い分、アミノ酸の原料のタンパク質が不足しているかもしれません。
胆泥症の肥満の犬に減量食で対応するのは一般的ですが、コリン不足をはじめ、様々な栄養失調になる可能性があるので要注意です。
また、どのような食事であっても、おやつが多かったり、肥満になる食事は、胆泥症になることはあると考えています。
したがって、炭水化物が少なく、脂肪が豊富な、肉のような食事により、胆嚢の運動性がアップし、無症候性の胆泥は、生じにくくなるかもしれません。また、肥満であれば、減量するとよいと考えます。
また、中性脂肪値が高くなる疾患は胆泥症と関連していると考えられ、食事に関して言えば、人の研究から、高脂肪食より、高炭水化物食の方が中性脂肪が高くなりやすいと考えています。
高脂肪食の方が運動性が低下するという犬の報告がありますが、その食事内容は結構高炭水化物であり、あまり制限してない炭水化物食かつ高脂肪食なの可能性があります。できれば炭水化物が数%以下の実験をみてみたいです。
ちなみに、肉食のうちの犬には胆泥はまだみつかっていません。
このような仮説を述べている獣医師は他にあまりいないと思いますが、わたしはそのように考察しており、診察室でご説明することがあります。
それから、胆泥症が進行すると、緊急手術になる場合があります。そのようなケースは大抵、食欲が急になくなり、吐いて、尿が真っ黄色になり、皮膚や目が黄色くなります。
この症状が出現したら、すぐ受診して下さい。過去に胆泥症など、胆嚢の異常を指摘されている場合は、そのリスクが高くなりますので、注意が必要です。
胆嚢の手術は、高度医療施設をご紹介しますが、私が行う場合もあります。
以上を一言で言えば、「犬を肉食にすれば胆泥症は起きにくくなる可能性はある」「黄色くなったらすぐ受診」です。
参考文献
コリンは肝臓の健康に関与し、胆嚢に影響を与える可能性が示されています。例えば、コリンと関連するベタインの摂取が、メチオニン代謝におけるホモシステイン濃度に影響を与えることがわかっていますが、胆嚢運動との具体的な関連は明確にはされていません (Chiuve et al., 2007)
インスリン抵抗性は胆嚢の運動異常を引き起こすことが確認されています。特に、インスリン抵抗性が高いと胆嚢の排出率が低下し、胆石や胆嚢炎のリスクが増加することが報告されています (Nakeeb et al., 2006)
高血糖状態では胆嚢の収縮が抑制されることが報告されており、インスリンが関与していると考えられます。インスリンが正常な血糖値の状態でも胆嚢収縮を抑制することが確認されています (Gielkens et al., 1998)
糖尿病患者では、自律神経障害やホルモンバランスの変化により胆嚢の運動が低下することがあります。胆嚢の収縮力が低下し、胆石形成のリスクが増加する可能性があります (Bucceri et al., 2002)
コリンは胆汁の生成に重要であり、胆嚢の収縮を促進する可能性があります。特に、コリンは脂肪の代謝と胆汁の分泌に影響を与え、胆嚢の機能に深く関わっています (Gielkens et al., 1997)
トレオニンは、肝臓や胆嚢の健康に重要なアミノ酸であり、特に肝機能や胆汁の生成に関与しています (Bugajska et al., 2023)
バリン(Valine)、イソロイシン(Isoleucine)、メチオニン(Methionine): これらの分枝鎖アミノ酸や硫黄を含むアミノ酸は、胆嚢の収縮や胆汁分泌の促進に関与しています。これらのアミノ酸は、胆嚢内の平滑筋を刺激し、胆汁の流れを助けます (Shirohara et al., 1996)
胆嚢の胆汁濃度と胆嚢の運動が、コレシストキニン(CCK)によって制御されることが明らかになっています。食後の胆嚢運動は胆汁の希釈を促進し、これは食事による刺激によって引き起こされます (Muramatsu et al., 1997)
脂肪は強力なコレシストキニン(CCK)分泌の刺激剤であり、胆嚢収縮を誘発します。 (de Boer et al., 1992)
高脂肪・高コレステロール食は、犬において胆嚢収縮を減少させ、胆汁酸の組成を変化させることが示されています。これにより、胆嚢の運動能力が低下し、胆石形成のリスクが増加する可能性があります (Kakimoto et al., 2017)。
肥満犬を対象とした以前の研究では、犬に獣医治療用減量食を与えて減量計画を実施した場合、セレン、コリン、メチオニン、システイン、トリプトファン、総脂肪、マグネシウム、カリウムの摂取量が米国国立研究会議(NRC)の推奨許容量を下回ることが判明している [ 4、5 ]
Grant CE, Shoveller AK, Blois S, Bakovic M, Monteith G, Verbrugghe A. Dietary intake of amino acids and vitamins compared to NRC requirements in obese cats undergoing energy restriction for weight loss. BMC Vet Res. 2020 Nov 7;16(1):426. doi: 10.1186/s12917-020-02649-0. PMID: 33160364; PMCID: PMC7648986.
食事中の炭水化物の含有量が通常摂取するレベル(エネルギーの 55% 以上)を超えると、トリグリセリドの血中濃度が上昇します。炭水化物誘発性高トリグリセリド血症として知られるこの現象は、食事中の炭水化物の増加が通常食事中の脂肪の犠牲となるため、矛盾しています。したがって、食事中の炭水化物の含有量が増加すると、食事中の脂肪は減少しますが、血中の脂肪(トリグリセリド)の含有量は増加します
Parks EJ. Effect of dietary carbohydrate on triglyceride metabolism in humans. J Nutr. 2001 Oct;131(10):2772S-2774S. doi: 10.1093/jn/131.10.2772S. PMID: 11584104.
受付時間
受付時間 | 月 | 火 | 水 | 木 | 金 | 土 | 日祝 |
---|---|---|---|---|---|---|---|
9:50-12:45 | ○ | ○ | 休 | ○ | ○ | ○ | ○ |
15:50-18:30 | ○ | ○ | 休 | ○ | ○ | ○ | ○ |
水曜休診
夏季休業なし
12月30日から1月3日休診