治療実績
WORKS
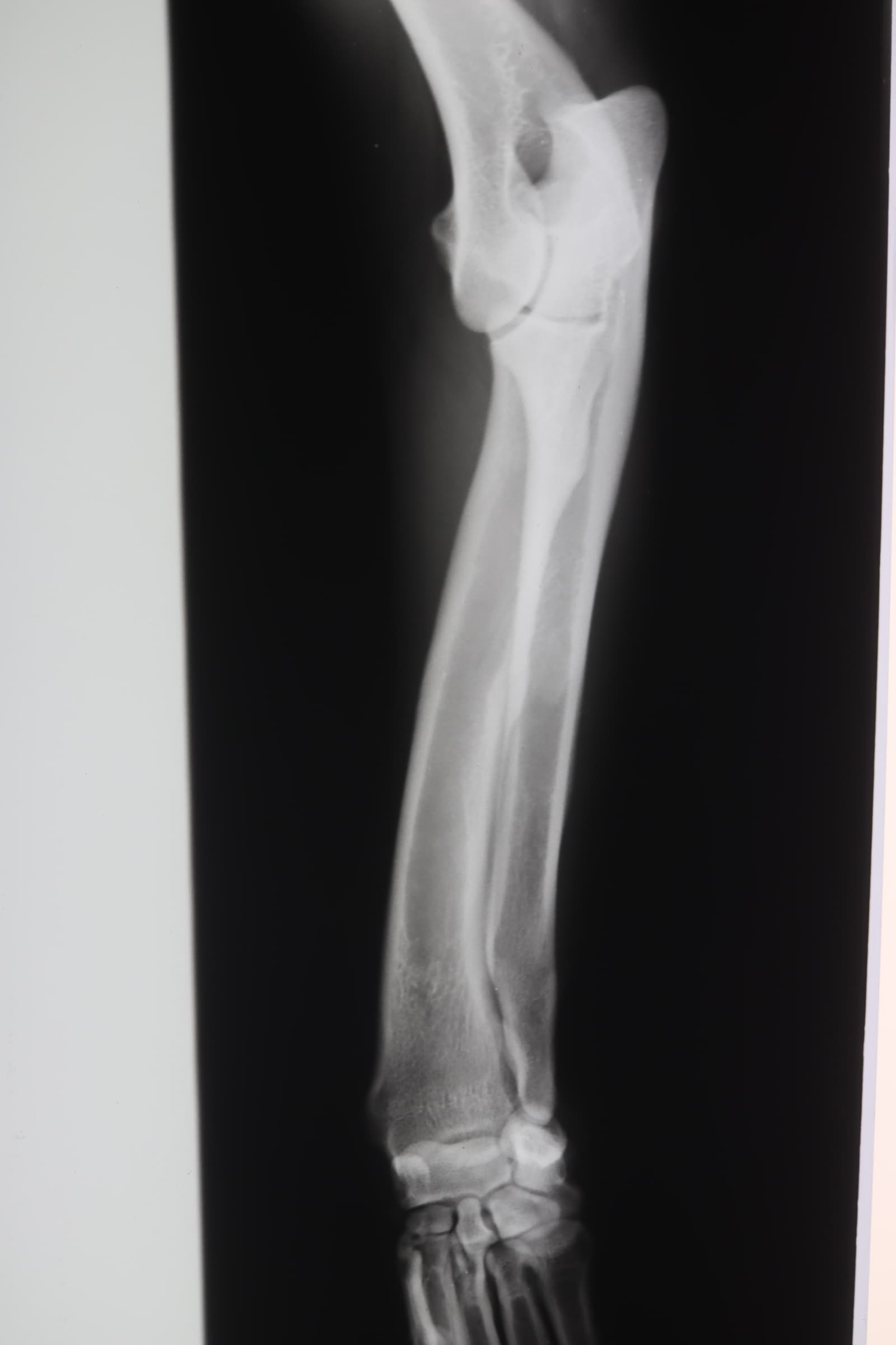
尺骨早期閉鎖不全(外傷性) |
|---|
レントゲン検査
前足が曲がっているためレントゲン検査をしました。おそらく、子犬のときに足を痛めた影響で、二本の骨の一本ががうまく成長しなかったようです。
レントゲン検査
痛めた方はの骨が成長の衰え、一方は正常に成長しようとするので、足が曲がってしまっています。幸いなことに、それは軽度なので、症状があまりありません。重症な場合は、肘関節が外れてしまうことがあります。(2024年10月24日)
受付時間
| 受付時間 | 月 | 火 | 水 | 木 | 金 | 土 | 日祝 |
|---|---|---|---|---|---|---|---|
| 9:50-12:45 | ○ | ○ | 休 | ○ | ○ | ○ | ○ |
| 15:50-18:45 | ○ | ○ | 休 | ○ | ○ | ○ | ○ |
水曜休診
夏季休業なし
12月30日から1月3日休診