治療実績
WORKS
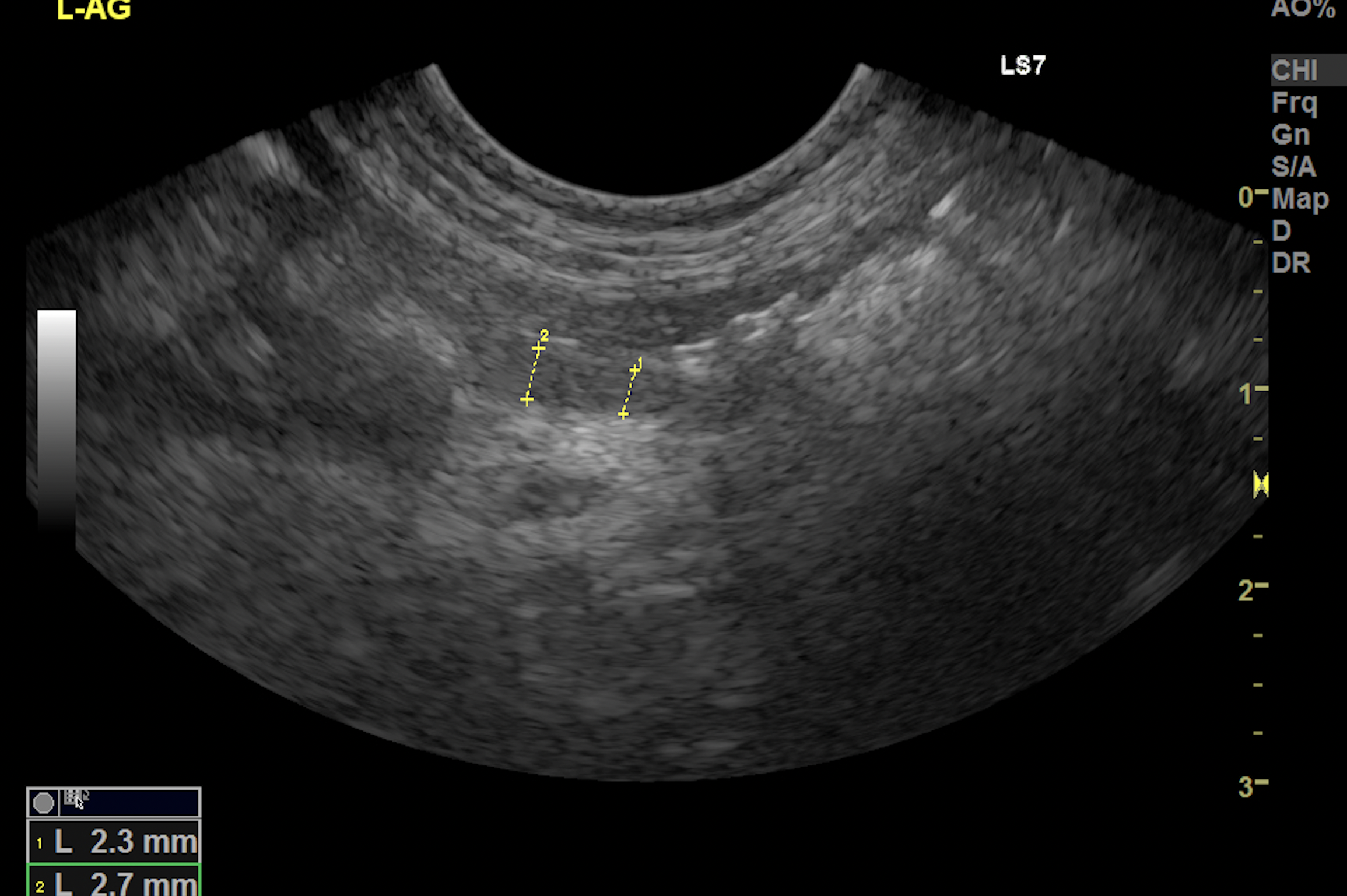
アジソン病(副腎皮質低下症) |
---|

超音波画像(小さいサイズの副腎)
腎不全のワンちゃんですが、アジソン病が併発していました。アジソン病というのは副腎皮質機能低下症です。
この病気は様々な症状を起こします。なんとなく、元気がない、下痢をする、などがよく知られていますが、多種多様です。
当院では、超音波検査で、副腎の大きさが3ミリ以下であれば、疑います。確定はホルモン検査になります。
治療後、劇的に元気になりました。
受付時間
受付時間 | 月 | 火 | 水 | 木 | 金 | 土 | 日祝 |
---|---|---|---|---|---|---|---|
9:50-12:45 | ○ | ○ | 休 | ○ | ○ | ○ | ○ |
15:50-18:45 | ○ | ○ | 休 | ○ | ○ | ○ | ○ |
水曜休診
夏季休業なし
12月30日から1月3日休診